CARIES DEL BIBERÓN
Es importante cuidar a los BEBES y niños por debajo de los 4 años de una forma severa de caries que se presenta como consecuencia del uso frecuente del BIBERÓN.
TODOS LOS TIPOS DE AZUCAR EN ESPECIAL LOS QUE SE ENCUENTRAN EN LA LECHE O JUGOS AZUCARADOS SON LOS RESPONSABLES DE ORIGINAR EL DEBILITAMIENTO DE LOS DIENTES DE TU BEBE.
Las caries puede aparecer desde que sale el primer diente, pero puede no llegar a precibirse en su fase inicial "mancha blanca". La primer señal de que los dientes de tu bebe puedan tener caries del biberón, son unas manchitas blancas en sus dientes.
¿SABIA UD. QUE? LECHE + AZUCAR=CARIES DEL BEBE
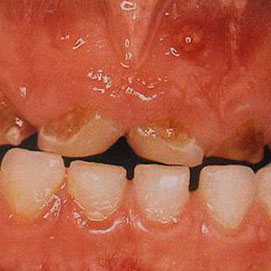
La CARIES DEL BEBE es una enfermedad que avanza rapidamente y va afectando a los dientes vecinos FORMANDO AGUJEROSE llamados caries dental.
Las lesiones que aparecen en esta foto son lesiones iniciales de CARIES, que son las manchas blancas, que se ven cerca de la encia + las manchas blancas son reversibles, significa que se pueden controlar muy bien y pueden detenerse, el TX. es sencillo y economico, libre de dolor y stress para tu niño.
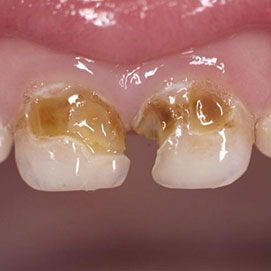
Si avanza se convierte en manchas más amarillas con pequeños agujeros y cada vez se hacen más grandes rapidamente.
Es muy importante tratarlas cuanto antes para que no se hagan grandes.
Los padres de familia son los unicos responsables de evitar las caries de la 1era. infancia.
"Si vez que tu BEBE tiene esas manchitas blancas o le cambia la tonalidad de los dientes visita al especialista, encontrar estos problemas a tiempo, puede evitar una situación dolorosa y desagradable."
LOS DIENTES DEL BEBE SON IMPORTANTES PARA MASTICAR, HABLAR, GUARDAR ESPACIO PARA LOS PERMANENTES Y PARA LA SALUD GENERAL
DIENTES SANOS = NIÑO SALUDABLE

